Whatsapp

Klinik Gigi Jujur dan Transparan

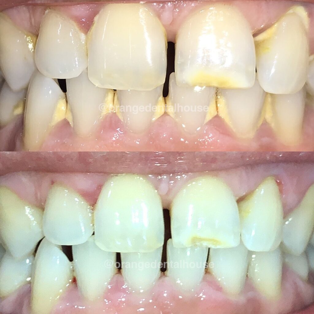
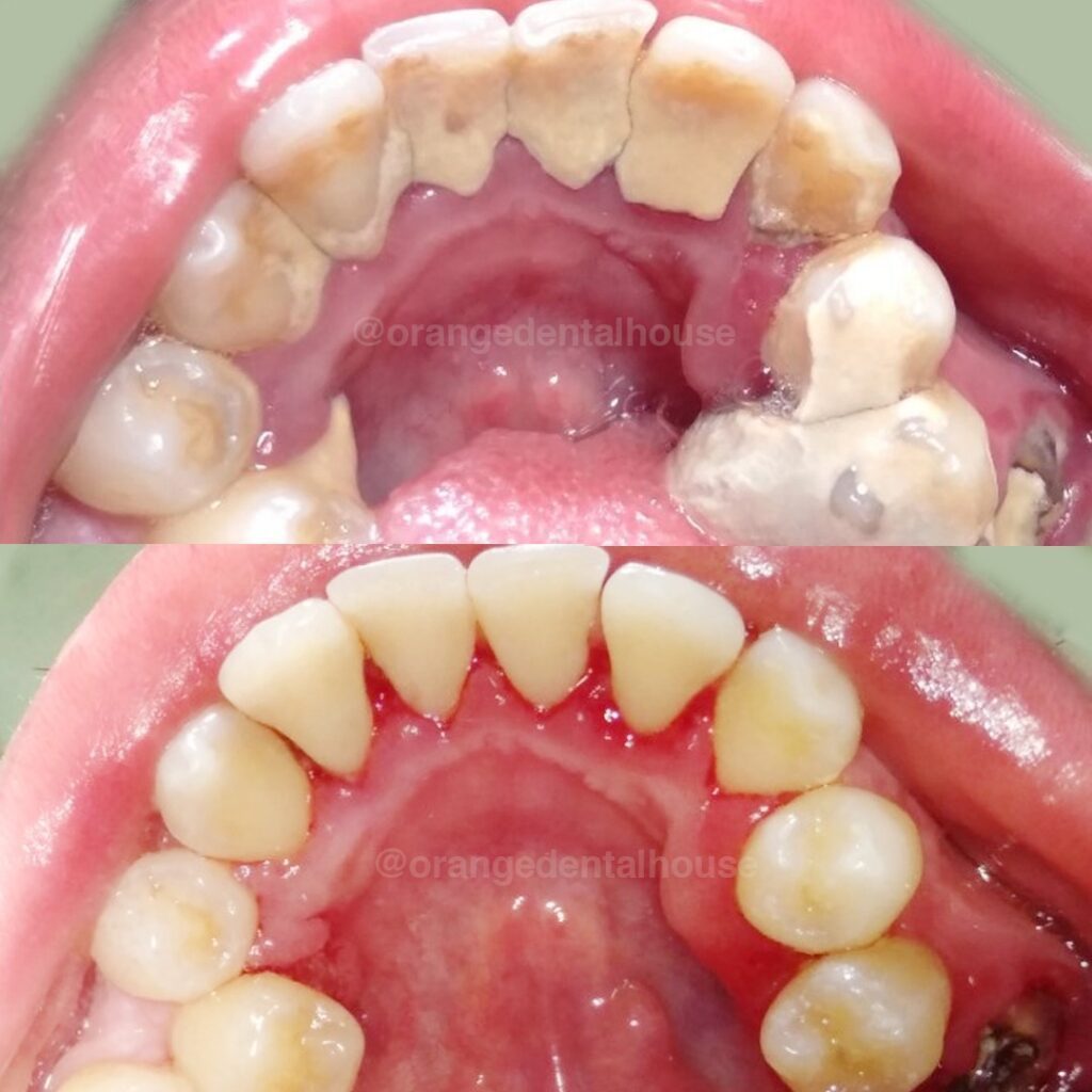
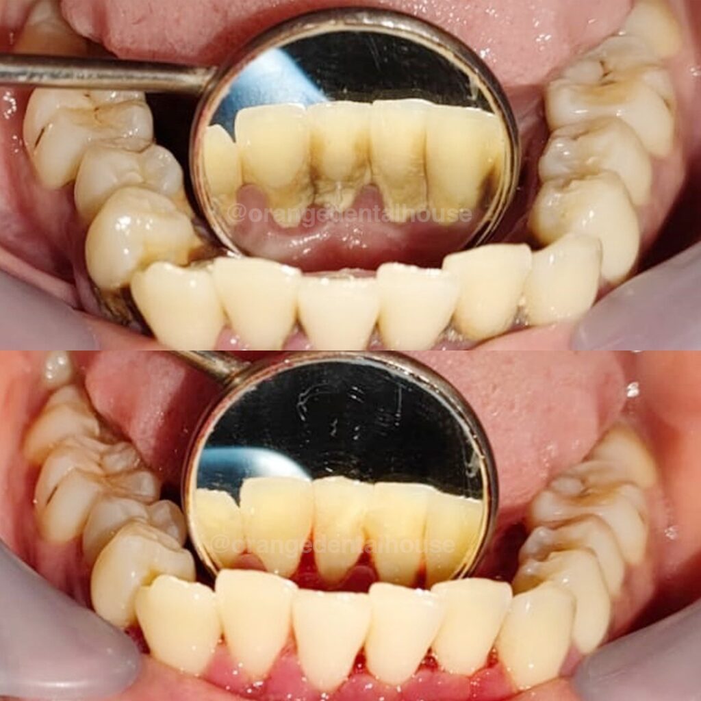
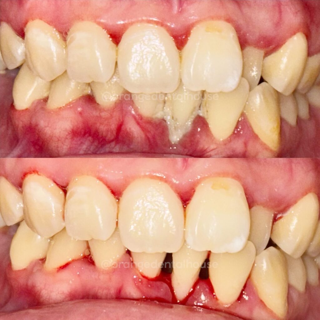
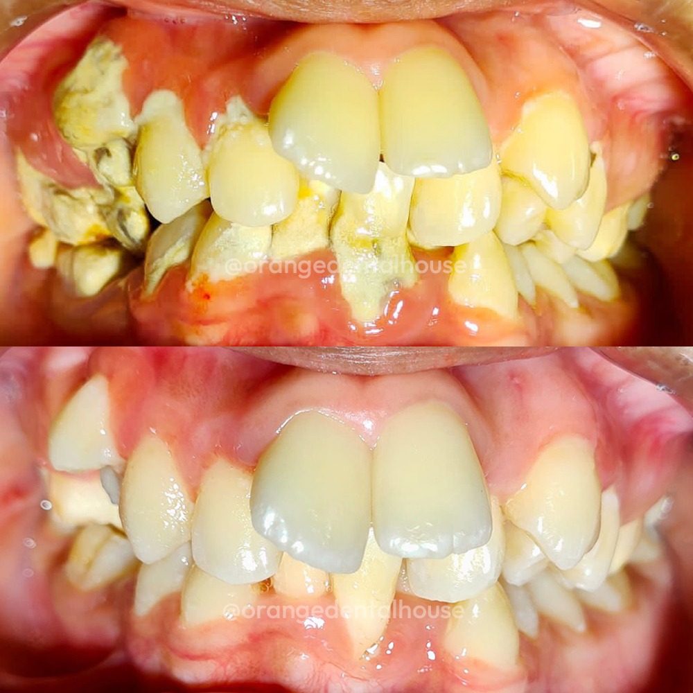
SMILE MAKE OVER (SCALING)

TESTIMONIAL

Newsletter

Daftarkan email anda untuk selalu update promo serta berita tentang Orang Dental