Whatsapp

Klinik Gigi Jujur dan Transparan

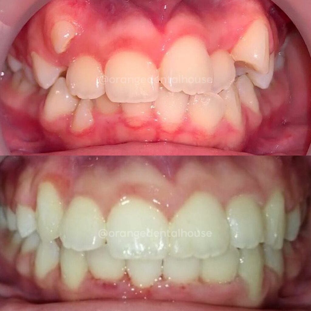
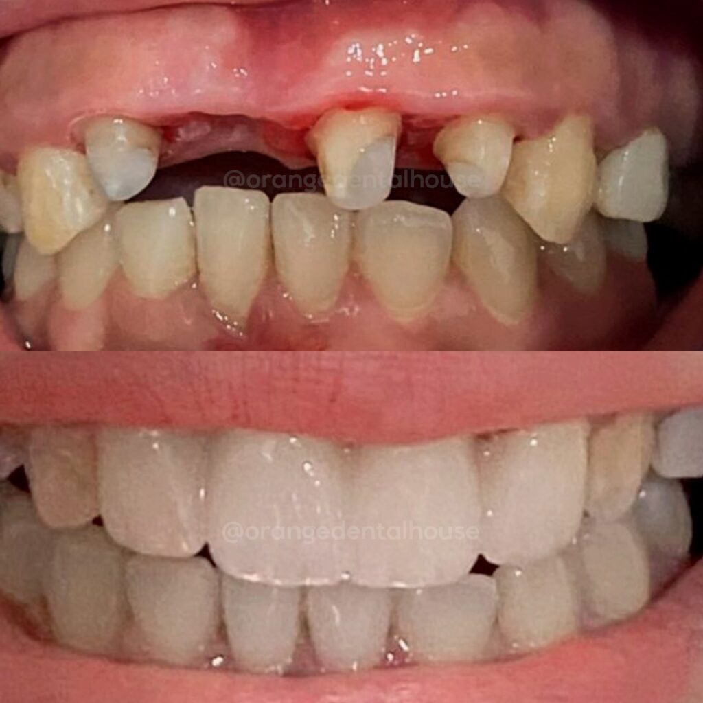
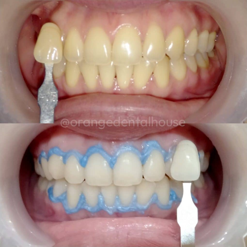
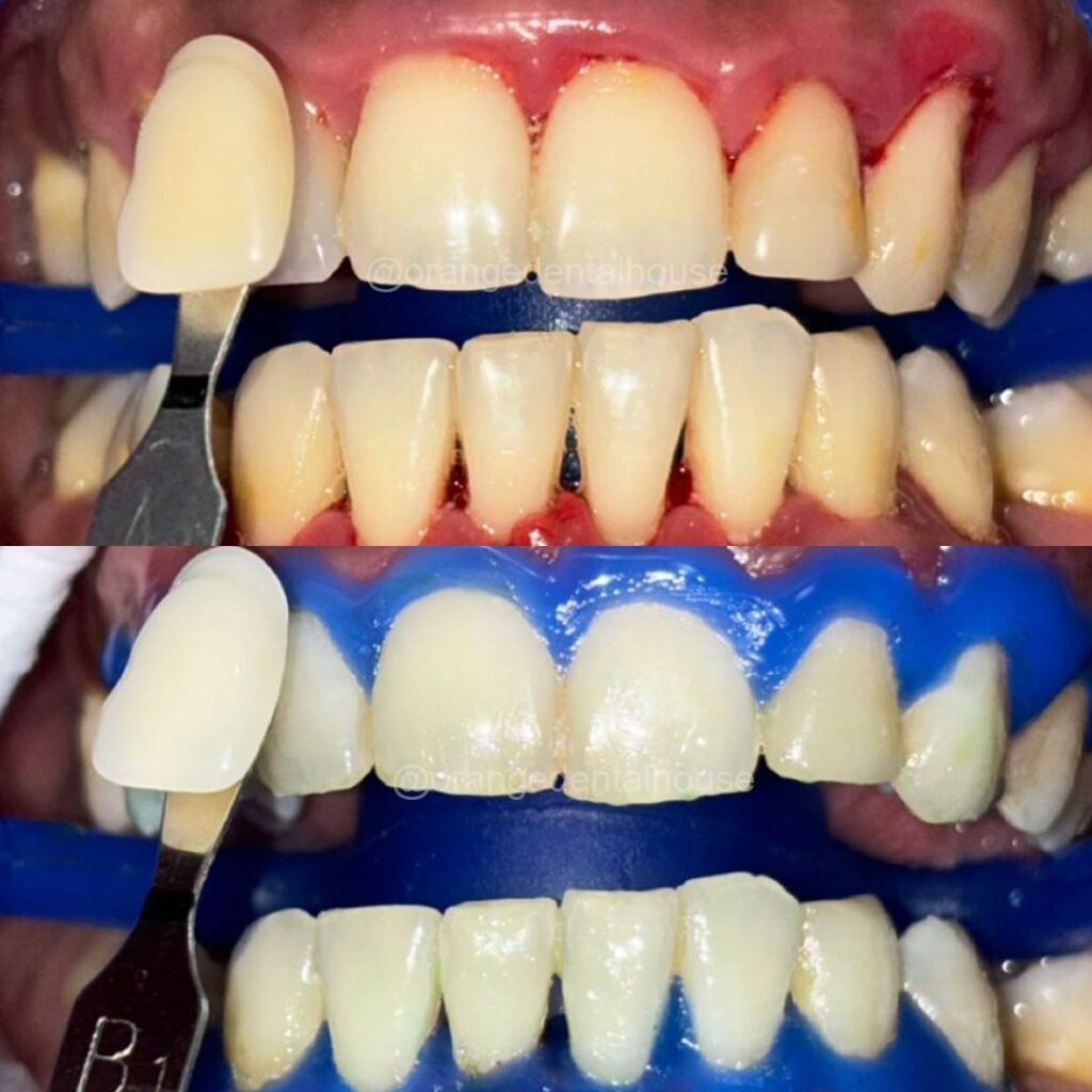
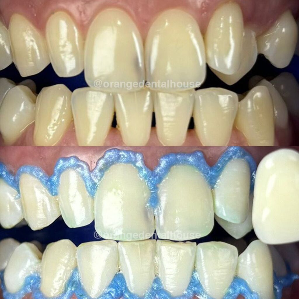
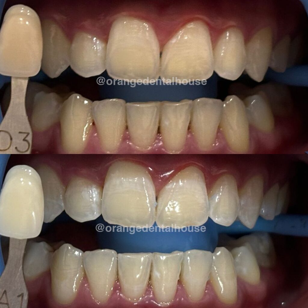
SMILE MAKE OVER (Bleaching)

TESTIMONIAL

Newsletter

Daftarkan email anda untuk selalu update promo serta berita tentang Orang Dental