Whatsapp

Klinik Gigi Jujur dan Transparan

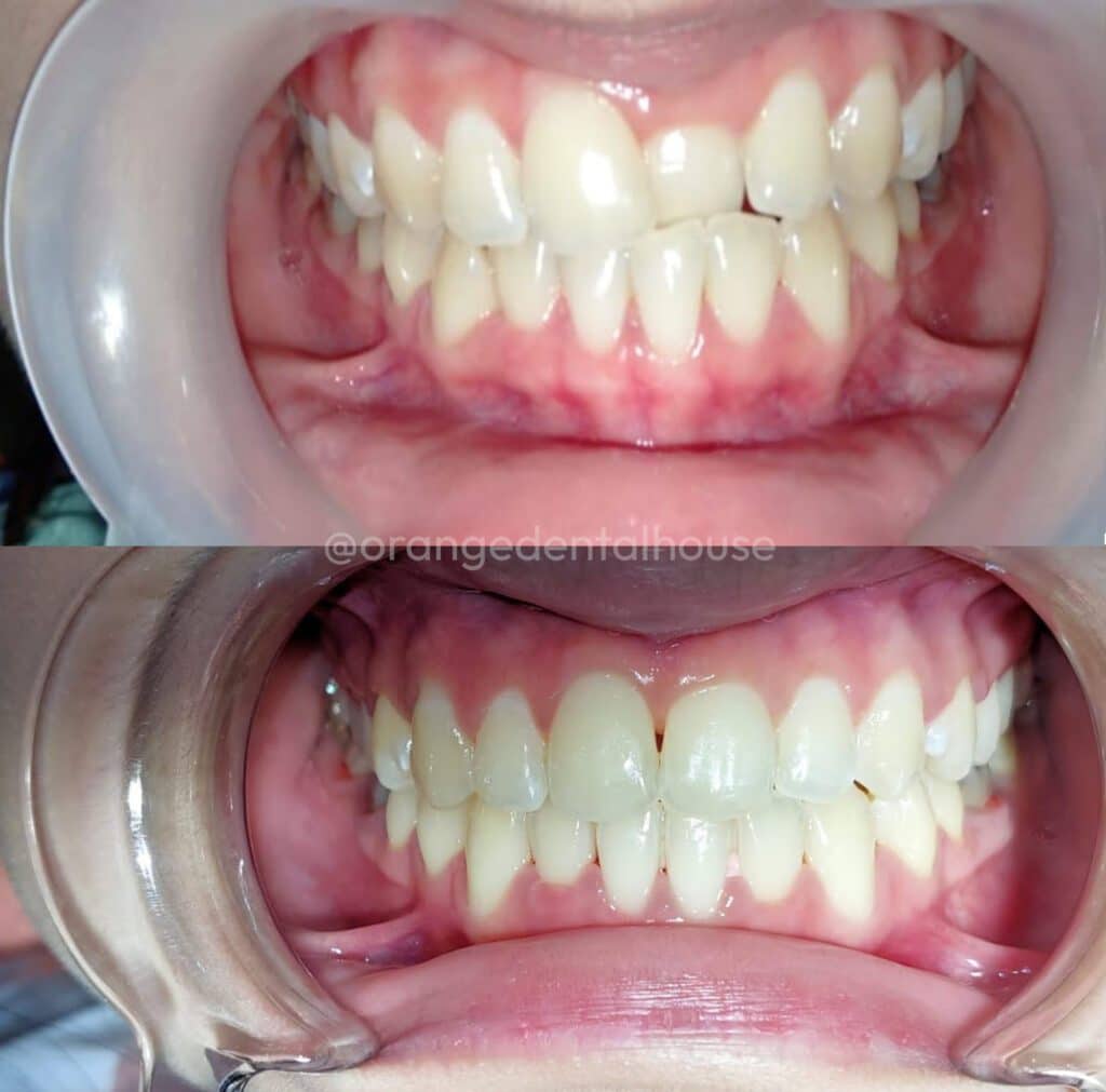
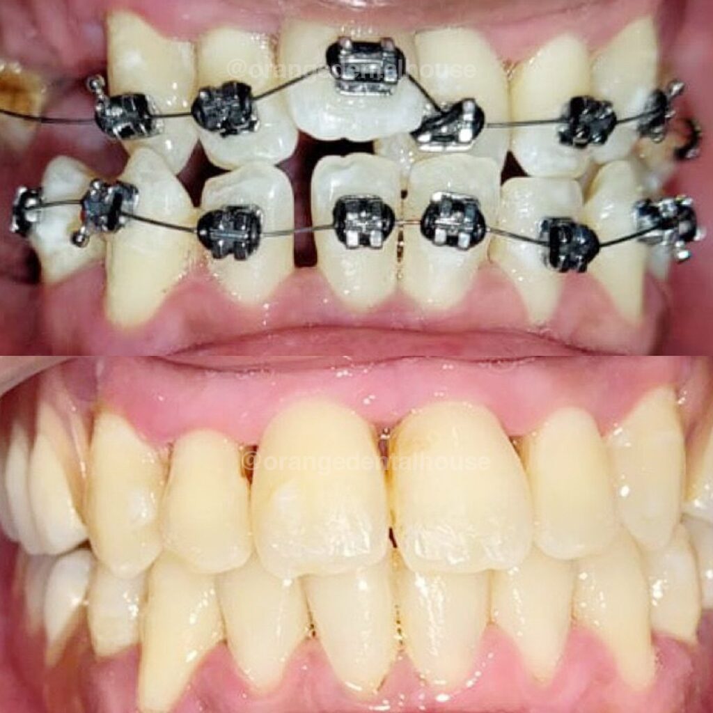
SMILE MAKE OVER

TESTIMONIAL

Quiz Behel Gigi

Isi Quiz singkat ini untuk membantu Anda menentukan apakah Anda Membutuhkan behel Gigi?​